洞察市场格局
解锁药品研发情报

客服电话

400-9696-311
医药数据查询

COVID-19|肺血管炎、血栓形成和血管生成

医药
摩熵医药(原药融云)
2020/05/25
1150

新冠疫情最新统计数据显示,全球累计确诊病例已经超过500万例。目前,美国是全球疫情最严重的国家,累计确诊病例1618820例,累计死亡病例96226例。累计确诊病例超过20万例的国家有俄罗斯、巴西、英国、西班牙和意大利。此外,法 国、德国和土耳其的累计确诊病例均超过15万例。

 

COVID-19死亡患者的外周肺组织学表现为弥漫性肺泡损伤伴血管周围T细胞浸润,肺部显示出与细胞内病毒的存在和细胞膜破裂相关的严重内皮损伤,有广泛的血栓形成伴有微血管病变。

 

本文分析了7例感染SARS-CoV-2导致的呼吸衰竭而死亡的患者的肺活检标本,并比较了其与7例因甲型流感病毒H1N1所致的肺炎死亡的肺脏。确诊流感病毒肺炎患者的肺部平均重量(±SE)高于确诊COVID-19患者的肺部平均重量(2404±560 g对1681±49 g;P = 0.04)。未感染的对照肺的平均体重(1045±91 g)低于流感组(P = 0.003)和COVID-19组(P <0.001)。

 

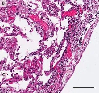
 血管中心性炎症 COVID-19组的所有肺标本均具有弥漫性肺泡损伤,并伴有肺泡内膜细胞坏死、2型肺细胞增生和线性肺泡内纤维蛋白沉积(图1)。七例中有四例的变化是局灶性的,仅有轻度的间质水肿。其余三例具有均一的纤维蛋白沉积和明显的间质性水肿,伴有早期肺泡内组织。流感组的标本均具有花粉状弥漫性肺泡损伤,并伴有大量的间质性水肿和广泛的纤维蛋白沉积。此外,流感组的三份标本有局灶性组织和吸收性炎症。这些变化使流感患者的肺部重量更高。

 

640?wx_fmt=jpeg 

640?wx_fmt=jpeg

图1  COVID-19死亡患者的肺部

 

淋巴细胞炎症免疫组化分析血管紧张素转换酶2(ACE2)的表达,以每个视野中ACE2阳性细胞的平均(±SD)相对计数来衡量,在未感染的对照肺中,肺泡上皮细胞和毛细血管内皮细胞中ACE2的表达分别为0.053±0.03和0.066±0.03。在COVID-19和流感患者的肺中,肺泡上皮细胞和毛细血管内皮细胞的每个视野的ACE2阳性细胞相对计数分别为0.25±0.14和0.35±0.15,而肺泡上皮细胞和毛细血管内皮细胞的相对视野计数分别为0.49±0.28和0.55±0.11。此外,在对照肺的血管周组织或肺泡中未见ACE2阳性淋巴细胞,但在COVID-19组和流感组的肺中存在(相对计数分别为0.22±0.18和0.15±0.09)。

 

 COVID-19和流感患者的肺中,在每位患者20个检查区域的毛细血管前和毛细血管壁200μm半径内发现了类似的CD3阳性T细胞平均数(±SD)(26.2 Covid-19为±13.1,流感为14.8±10.8)。在相同的检查视野下,COVID-19患者的肺中CD4阳性T细胞比流感患者的肺中CD4阳性T细胞更多(13.6±6.0对5.8±2.5,P = 0.04),而CD8-阳性T细胞数量较少(5.3±4.3对11.6±4.9,P = 0.008)。与流感病毒感染组相比,COVID-19组中性粒细胞(CD15阳性)的数量明显少于流感病毒组(0.4±0.5对4.8±5.2,P = 0.002)。

 

对炎症相关基因表达的多重分析,检查了NanoString Technologies的249个基因:共有79个与炎症相关的基因仅在COVID-19患者的标本中有差异调节,而2个基因仅在流感患者的标本中有差异调节。发现了7个基因的共享表达模式。 

 

血栓形成和微血管病 

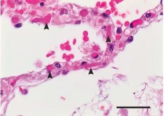
 COVID-19和流感患者的七个肺中有四个在直径1 mm至2 mm的肺动脉中有血栓存在,没有完整的腔阻塞。两组患者的所有肺部均可见肺泡毛细血管的纤维蛋白血栓(图2)。COVID-19患者的肺泡毛细血管血栓发生率是流感患者的9倍(每平方厘米管腔面积的平均血栓形成数[±SD]分别为159±73和16±16;P = 0.002)。COVID-19患者的毛细血管内小静脉内直径小于1 mm的血管内血栓数量少于流感患者(12±14 vs. 35±16,P = 0.02)。COVID-19组和流感组的三个肺中发现毛细血管和静脉血栓合并形成而无动脉血栓。COVID-19和流感患者的肺部几乎完全被毛细血管堵塞。

 

640?wx_fmt=jpeg

图2 COVID-19死亡患者的肺泡隔中的微血栓 

 

血管生成 

COVID-19组的肺血管扭曲、毛细血管结构变形(图3)。COVID-19患者的肺毛细血管口径突然变化、毛细血管内有肠套叠支柱(图3C)。COVID-19患者的内皮细胞出现超微结构损伤,以及细胞内存在SARS-CoV-2(图3D)。

 

640?wx_fmt=jpeg图3 COVID-19死亡患者肺部的微血管改变

 

COVID-19患者的肺中,肠套叠血管生成特征(平均[±SE],每视野60.7±11.8个特征)的密度显著高于流感患者(22.5±6.9)或未感染对照的肺中肺(2.1±0.6)(两个比较均P <0.001)。COVID-19组的常规发芽血管生成特征密度也高于流感组。当将肺血管生成特征计数绘制为住院时间的函数时,发现肠套叠血管生成的程度随住院时间的增加而显著增加(P <0.001)。相反,流感患者的肺的肠套叠血管生成较少,并且随时间没有增加。

 

仅在COVID-19组中,共有69个与血管生成相关的基因受到差异调节,而在流感组中,只有26个与基因差异相关。45个基因在表达上有共同的变化。

 

结果表明:COVID-19和流感患者的肺部具有共同的形态特征,即弥漫性肺泡损伤和浸润性血管周淋巴细胞。COVID-19有三个以血管为中心的特征。第一,与细胞内SARS-CoV-2病毒相关的严重内皮损伤和内皮细胞膜破裂。第二:COVID-19患者的肺部广泛存在血管血栓形成,并伴有微血管病变和肺泡毛细血管闭塞。第三,COVID-19患者的肺部通过肠套叠性血管生成机制具有明显的新血管生长。

 

ACE2是必不可少的膜蛋白,是SARS-CoV-2的宿主细胞受体。数据显示:与未感染对照组相比,COVID-19和自流感患者的肺中ACE2阳性细胞数量显著增加。ACE2阳性的内皮细胞数量更多,并且内皮形态发生显著变化,COVID-19患者的标本中的内皮细胞显示出细胞间连接的破坏,细胞肿胀以及与基底膜失去接触。内皮细胞内存在SARS-CoV-2病毒,提示直接的病毒作用以及血管周围的炎症可能导致内皮损伤。

 

 

 

<END>
*声明:本文由入驻摩熵医药的相关人员撰写或转载,观点仅代表作者本人,不代表摩熵医药的立场。
新增广告 下方通栏广告

收藏

发表评论
评论区(0
  • 暂无评论

    摩熵医药企业版
    50亿+条医药数据随时查
    7天免费试用
    京用这众始光
    测试
    测试
    添加收藏
      新建收藏夹
      取消
      确认